Siêu âm 4D – Cửa sổ thần kỳ kết nối mẹ và bé tại Bệnh viện Hồng Ngọc
Siêu âm 4D là gì?

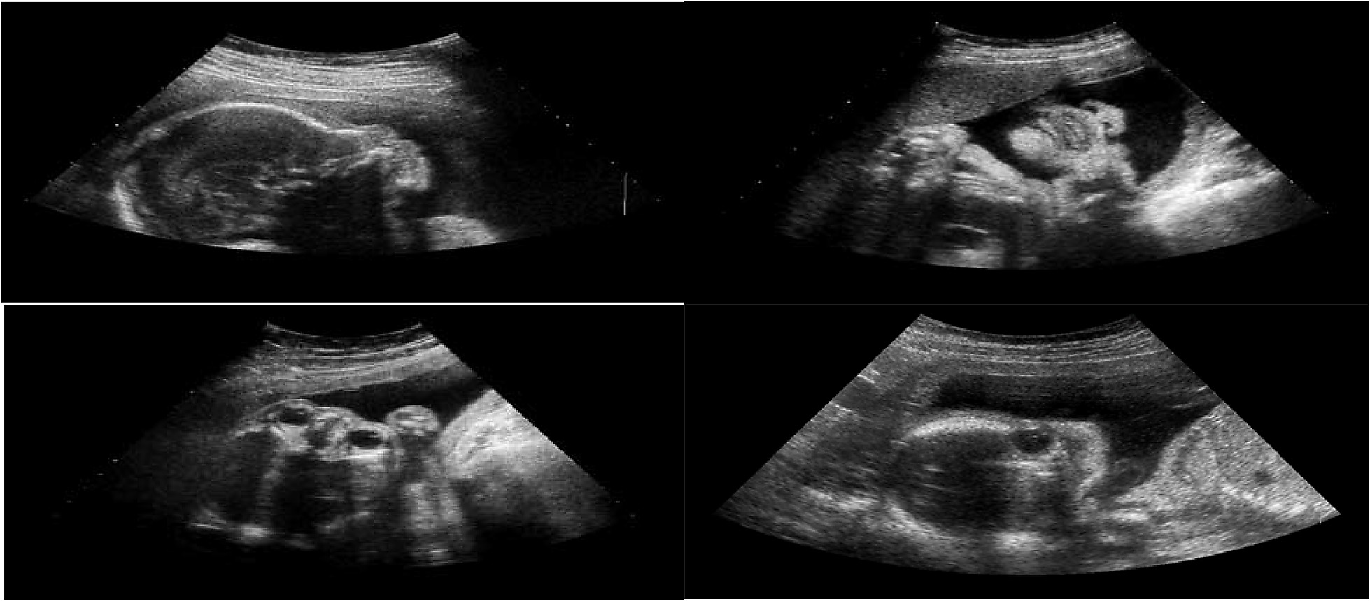
Siêu âm 4D là kỹ thuật chẩn đoán hình ảnh hiện đại nhất hiện nay trong lĩnh vực sản khoa. Khác với siêu âm 2D truyền thống chỉ cho hình ảnh đen trắng, hoặc 3D tĩnh, thì siêu âm 4D cho phép quan sát hình ảnh chuyển động thật thời của thai nhi trong bụng mẹ, dưới dạng hình ảnh màu sắc rõ nét, gần như video trực tiếp.
Mẹ bầu có thể nhìn thấy các cử động của con như:
-
Ngáp, mút tay
-
Cười, nhăn mặt, quay đầu
-
Đạp chân, cử động tay
-
Thậm chí là nhịp tim đập
Thông qua đó, siêu âm 4D không chỉ là công cụ chẩn đoán y tế mà còn là trải nghiệm cảm xúc rất đặc biệt của mẹ và gia đình.
Siêu âm 4D được thực hiện vào thời điểm nào?
Thông thường, mẹ bầu sẽ được chỉ định siêu âm 4D từ tuần thai 22 đến 28 – giai đoạn em bé đã phát triển đủ về hình thể, lượng nước ối ổn định, và tư thế thai thuận lợi để quan sát rõ nét.
Tại Hồng Ngọc, bác sĩ có thể linh hoạt điều chỉnh thời điểm siêu âm tùy theo:
-
Tình trạng thai kỳ (thai đơn, thai đôi, tiền sử bệnh lý…)
-
Mục đích chẩn đoán (kiểm tra dị tật, phát triển cơ thể…)
-
Sở thích và nhu cầu của mẹ bầu (xem hình ảnh bé rõ nét nhất)
Tác dụng của siêu âm 4D đối với thai kỳ
1. Quan sát hình ảnh thai nhi sống động, sắc nét
Siêu âm 4D cho phép cha mẹ nhìn thấy khuôn mặt, cử động và biểu cảm của bé rõ ràng. Đây là trải nghiệm xúc động, giúp kết nối cảm xúc giữa cha mẹ và con từ trong bụng.
Nhiều mẹ chia sẻ rằng, lần đầu nhìn thấy bé nhăn mặt hay mỉm cười đã khiến họ rơi nước mắt vì xúc động.
2. Phát hiện dị tật thai nhi từ sớm
Đây là giá trị y học quan trọng nhất của siêu âm 4D. Các bất thường có thể được phát hiện bao gồm:
-
Dị tật sứt môi, hở hàm ếch
-
Bất thường về tay chân (ngắn chi, thiếu chi)
-
Bất thường ở cơ quan nội tạng (tim, phổi, thận…)
-
Các vấn đề về cột sống, hệ thần kinh
Phát hiện sớm sẽ giúp bác sĩ đưa ra hướng theo dõi thai kỳ, tư vấn và chuẩn bị phương án can thiệp y tế sau sinh nếu cần.
3. Đánh giá sự phát triển của thai nhi
Bác sĩ sẽ đo lường các chỉ số như chiều dài xương đùi, đường kính đầu, chu vi bụng… để so sánh với tuổi thai, từ đó xác định sự phát triển có đúng chuẩn hay không.
Đồng thời, siêu âm 4D cũng kiểm tra:
-
Lượng nước ối
-
Vị trí bánh nhau
-
Dây rốn
-
Cử động thai
Những thông tin này rất quan trọng để dự đoán nguy cơ thai suy, thiểu ối, dây rốn quấn cổ…
Siêu âm 4D tại Bệnh viện Hồng Ngọc có gì đặc biệt?

1. Máy siêu âm hiện đại hàng đầu
Hồng Ngọc trang bị hệ thống máy siêu âm Voluson E10, GE Healthcare – dòng máy được đánh giá là tiên tiến nhất hiện nay, cho hình ảnh sắc nét, màu chân thực, giảm nhiễu, tăng độ sâu khi quan sát thai nhi.
Máy có khả năng:
-
Chụp ảnh 4D chuyển động
-
Lưu trữ hình ảnh, video của bé
-
Hỗ trợ chẩn đoán dị tật với phần mềm AI phân tích chuyên sâu
2. Bác sĩ chuyên khoa chẩn đoán hình ảnh sản khoa
Không phải ai cũng có thể đọc chính xác hình ảnh siêu âm 4D. Tại Hồng Ngọc, các bác sĩ được đào tạo chuyên sâu về chẩn đoán dị tật bẩm sinh và hình thái học thai nhi.
Một số bác sĩ nổi bật:
-
ThS.BS Trần Thu Thủy – gần 20 năm kinh nghiệm chẩn đoán hình ảnh thai nhi
-
BSCKII Nguyễn Thị Bích Thủy – từng công tác tại Bệnh viện Phụ sản Hà Nội
3. Không gian siêu âm riêng biệt, thân thiện
Phòng siêu âm được thiết kế hiện đại, có ghế ngồi cho người thân, màn hình lớn hiển thị hình ảnh bé rõ ràng. Mẹ bầu có thể vừa siêu âm vừa được nghe bác sĩ giải thích trực tiếp hình ảnh của bé.
Ngoài ra, Hồng Ngọc còn hỗ trợ:
-
Chụp ảnh, quay video bé gửi về email/máy cá nhân
-
Lưu lại khoảnh khắc bé lần đầu lộ diện như một món quà tinh thần
4. Đặt lịch linh hoạt, không chờ đợi
Mẹ có thể đặt lịch siêu âm qua website, tổng đài hoặc ứng dụng đặt khám nhanh. Nhân viên tư vấn sẽ hỗ trợ mẹ chọn thời điểm siêu âm lý tưởng theo tuổi thai và thời gian rảnh.
Những lưu ý khi siêu âm 4D
-
Nên đi siêu âm vào buổi sáng, mẹ không nên ăn quá no
-
Mặc quần áo rộng rãi, dễ thao tác
-
Uống đủ nước trước 1–2 tiếng để tăng lượng nước ối
-
Nếu thai nhi quay lưng hoặc tư thế không thuận, có thể cần đợi bé đổi tư thế hoặc hẹn lại
Giá siêu âm 4D tại Hồng Ngọc là bao nhiêu?
Tùy theo gói thai sản mà siêu âm 4D đã được bao gồm. Nếu mẹ đi lẻ, giá dịch vụ siêu âm 4D tại Hồng Ngọc dao động từ 500.000 – 800.000 VNĐ/lần, đã bao gồm tư vấn với bác sĩ.
Việc siêu âm tại một bệnh viện uy tín, bác sĩ giàu kinh nghiệm sẽ giúp mẹ không chỉ yên tâm về kỹ thuật mà còn nhận được sự giải thích rõ ràng, nhân văn về sức khỏe của con.
Vì sao nên siêu âm 4D tại Hồng Ngọc?
-
Trang thiết bị hàng đầu thế giới
-
Bác sĩ chẩn đoán hình ảnh sản khoa giàu kinh nghiệm
-
Quy trình chuẩn quốc tế, an toàn cho mẹ và thai nhi
-
Không gian riêng tư, ấm cúng, nhiều tiện ích đi kèm
-
Hỗ trợ chụp ảnh, lưu video kỷ niệm
-
Dịch vụ chăm sóc khách hàng tận tâm, chu đáo