Lấy cao răng định kỳ tại MedDental – Giải pháp duy trì sức khỏe răng miệng lâu dài
Vì sao cần lấy cao răng định kỳ?

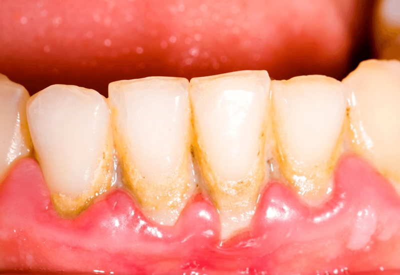
Cao răng hình thành từ mảng bám thức ăn tích tụ, kết hợp với khoáng chất trong nước bọt tạo thành lớp cứng bám chặt vào chân răng. Nếu không được loại bỏ, cao răng sẽ:
-
Gây viêm nướu, chảy máu chân răng.
-
Tạo điều kiện cho vi khuẩn gây hôi miệng phát triển.
-
Làm tụt nướu, tiêu xương ổ răng, răng lung lay và dễ rụng.
-
Ảnh hưởng thẩm mỹ khi răng ố vàng, xỉn màu.
Chính vì vậy, lấy cao răng định kỳ không chỉ để làm sạch mà còn phòng ngừa nhiều bệnh lý răng miệng nguy hiểm.
Tần suất lấy cao răng phù hợp
Theo khuyến nghị của bác sĩ nha khoa, mỗi người nên lấy cao răng 6 tháng/lần. Tuy nhiên, tần suất này có thể thay đổi tùy vào tình trạng răng miệng:
-
Người có men răng chắc khỏe: 1 lần/năm.
-
Người hút thuốc, uống nhiều cà phê, trà: 3 – 4 tháng/lần.
-
Người có bệnh lý nha chu: theo chỉ định của bác sĩ.
Quy trình lấy cao răng tại MedDental
MedDental áp dụng kỹ thuật hiện đại, đảm bảo an toàn và thoải mái cho khách hàng:
-
Thăm khám tổng quát: Kiểm tra tình trạng răng, nướu trước khi thực hiện.
-
Làm sạch cao răng bằng sóng siêu âm: Loại bỏ mảng bám cứng mà không gây ê buốt.
-
Đánh bóng răng: Giúp bề mặt răng nhẵn mịn, hạn chế tích tụ mảng bám trở lại.
-
Tư vấn chăm sóc: Bác sĩ hướng dẫn chế độ vệ sinh răng miệng sau khi lấy cao răng.
Ưu điểm khi lấy cao răng tại MedDental

-
Không đau, không chảy máu: Công nghệ siêu âm hiện đại nhẹ nhàng, an toàn.
-
Đội ngũ bác sĩ chuyên môn cao: Giàu kinh nghiệm trong chăm sóc và điều trị nha khoa.
-
Đảm bảo vô khuẩn tuyệt đối: Hệ thống dụng cụ được tiệt trùng theo chuẩn y tế.
-
Hiệu quả thẩm mỹ rõ rệt: Răng sáng hơn, nụ cười tự tin hơn.
Lợi ích khi duy trì thói quen lấy cao răng
-
Ngăn ngừa bệnh lý răng miệng như viêm nướu, nha chu.
-
Giữ hơi thở thơm mát, tự tin trong giao tiếp.
-
Hạn chế tình trạng tụt lợi, lung lay răng.
-
Bảo vệ sức khỏe toàn thân vì vi khuẩn từ cao răng có thể gây ảnh hưởng đến tim mạch và hệ hô hấp.
Cách chăm sóc răng miệng sau khi lấy cao răng
-
Đánh răng 2 – 3 lần/ngày với bàn chải lông mềm.
-
Sử dụng chỉ nha khoa thay cho tăm xỉa.
-
Hạn chế thức uống sẫm màu như trà, cà phê.
-
Tái khám định kỳ tại MedDental để theo dõi sức khỏe răng miệng.
Chăm sóc răng miệng không chỉ dừng lại ở việc đánh răng hằng ngày mà cần có sự hỗ trợ chuyên khoa. Lấy cao răng định kỳ tại MedDental là lựa chọn an toàn và hiệu quả, giúp bạn duy trì nụ cười khỏe mạnh và tự tin trong cuộc sống.